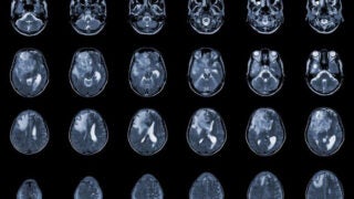
In USC-led research, the new drug candidate selectively attacked glioblastoma stem cells and passed early safety testing in a Phase 1 clinical trial.
News Listing
COMMENCEMENT: Ashley Espinosa, who interned at the Los Angeles County Metropolitan Transportation Authority, got special insight into the system: She’s inspected every L.A. Metro station.
COMMENCEMENT: Thousands are expected on the University Park Campus for USC’s 142nd commencement celebrations this week. You’ll want to plan accordingly.
A breast milk sensor developed by a USC biomedical engineering team detects acetaminophen, other chemicals and nutrients in real time.
COMMENCEMENT: Mixing his passion for magic with his academic studies, graduating cognitive science major Tyler Gibgot learns he can help others find their own brand of magic. Watch the video and read the story.
Graduates harness advanced technologies to create resilient, agile and sustainable supply chains that benefit business and society.
STORY AND VIDEOS: Executive Chef Luis Santos’ deconstructed Honduran tamale was chosen from five finalists. Read the backstory — and learn how to make this delicious dish.
COMMENCEMENT: Gabrielle and Zoe Edwards did not plan to attend USC together. Fate had a different plan in store for them.
USC research finds that obesity, gestational diabetes and hypertensive disorders of pregnancy were tied to elevated blood pressure in offspring, with effects that grow as children age.
The USC researchers’ method, deterministic benchmarking, paves the way toward more reliable quantum simulations and fault-tolerant quantum computing.